Transformation Gallery

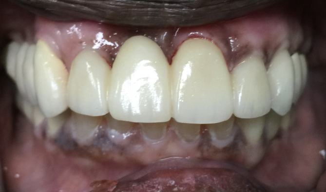
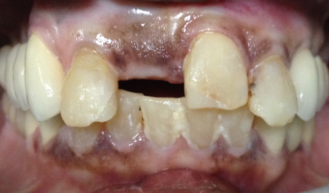
Before & After of our patients show how the proper dental treatment plan will result in beautiful, healthy teeth and gums. We are committed to attentive care and professional precision dentistry to give you the smile you deserve!

The following pictures are of actual patients of Dr. Young S. Lee.



Before

After



Before

After



Before

After



Before

After



Before

After



Before

After



Before

After



Before

After



Before

After



Before

After



Before

After



Before

After


Before

After

Smile Simulation

Whether you have “un-esthetic” smile or “aged” smile, do you ever wonder how great your smile can look? Sometimes the best way to find out is to see a simulation of a new smile inside your mouth. This mock-up will allow you to “try-on” and preview the end results before any final decisions are made. This does not require any shots or drilling of existing teeth; therefore, it is completely reversible.. It’s a perfect way to see before you commit to anything.
Image
Before
Image
After
Image
Image
Before
Image
After
Image
Image
Before
Image
After
Image
Image
Before
Image
After
Image
Image
Before
Image
After
Image
Image
Before
Image
After
Image

New Patients Welcome!

Optimal oral health starts with a customized treatment plan. Begin your treatment by scheduling a consultation today.